

Zahnkronen und Zahnbrücken
Zahnkrone und Zahnbrücke in Österreich –funktioneller und ästhetischer Ersatz der Zahnsubstanz
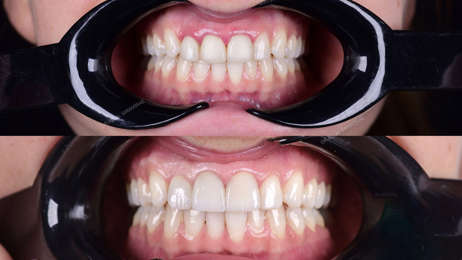
Je mehr Zahnsubstanz verloren ist, desto wichtiger ist ein ästhetischer Ersatz. Man sollte ihm die Arbeit des Zahnarztes nicht ansehen und der sich ohne Störungen in das Kausystem einpasst. Mit einer Zahnkrone oder einer Zahnbrücke, so genanntem festsitzenden Zahnersatz, können zerstörte und völlig fehlende Zähne praktisch unsichtbar ersetzt werden. Passgenau in einem Zahnlabor hergestellt, ermöglicht der Zahnersatz eine perfekte Funktion, „unsichtbare“ Ästhetik, Langlebigkeit und ein völlig natürliches Zahngefühl.
Im Laufe des Lebens kann es auf verschiedenen Wegen zu der Situation kommen, dass Zahnersatz, wie beispielsweise eine Zahnkrone, benötigt wird. An dieser Stelle ist wichtig, dass Sie mit Ihrem Zahnarzt in Österreich über diese Thematik sprechen und Ihm in seiner Expertise vertrauen können.
Zahnkrone-Arten
- Metallkrone (Titan oder Stahl)
- Vollkeramikkrone (Zirkonoxid, Feldspat-, Glas- oder
- Alumiumoxidkeramik)
- Verblendkrone (Metallkeramik: Goldgerüst mit
- Keramikverblendung)
- Goldkrone.
- zirkonkrone
Was versteht man unter einer Zahnkrone?
Mit einer Zahnkrone kann der Zahnarzt stark geschädigte Zähne wiederherstellen. Sie wird wie eine schützende Hülse über den behandelten und präparierten Zahn gestülpt, so dass der Zahn seine natürliche Form und Stabilität zurückbekommt. Doch Zahnkrone ist nicht gleich Zahnkrone. Wie bei nahezu jeder restaurativen Versorgung stehen dem Patienten mehrere Varianten zur Wahl, die sich in Material und Verarbeitungstechnik unterscheiden. Metallkeramikkronen – auch Verblendkronen genannt – gelten heute als Standardversorgung. Vollkeramikkronen und so genannte Galvanokronen sind hochwertige Alternativen zu der standardisierten Zahnkrone.

Gerne informieren wie Sie über genaue Kosten und Preise für Zahnkronen und Zahnbrücken. Bitte setzen Sie sich mit meiner Ordination in Verbindung.
Wenn Zähne doch einmal nicht zu erhalten sind?
In diesem Fall ist die Zahnbrücke eine Möglichkeit, die Zahnlücke fest zu schließen. Der Zahnersatz überspannt die Lücke, so wie eine architektonische Brücke einen Fluss oder eine Straße überbrückt. Das Glied der Zahnbrücke ersetzt dabei den fehlenden Zahn.
Zur Befestigung der Zahnbrücke – als so genannter Brückenpfeiler – dienen die Zähne die links und rechts von der Brücke stehen. Wenn eine Befestigung an den natürlichen Zähnen nicht möglich ist oder die neben der Lücke stehenden Pfeilerzähne nicht oder nur geringfügig geschädigt sind und es nicht gerechtfertigt wäre, sie für die Verankerung der Zahnbrücke zu beschleifen, kann der Zahnarzt oft mit einem Implantat helfen.
Alternativ besteht die Möglichkeit, die Lücke mit einer herausnehmbaren Teilprothese zu schließen. In erste Linie ist wichtig, dass die Lücke gut verschlossen wird.
Warum sollte man eine Zahnlücke nicht „offen“ lassen?
Fehlen einzelne oder mehrere Zähne völlig, wirkt sich dies nicht nur nachteilig auf das Erscheinungsbild aus. Auch die verbliebenen Zähne „leiden“ unter der Lücke: Der gegenüberliegende Zahn hat beim Zusammenbiss keinen Widerstand und wird deshalb allmählich länger. Er wächst praktisch in die Zahnlücke hinein. Zudem besteht die Gefahr, dass die Nachbarzähne in die Lücke hineinkippen.
Die nächsten Zähne folgen dieser Verschiebung, so dass die Zahnreihen irgendwann nicht mehr richtig aufeinander passen. Solche Veränderungen können zu Fehlbelastungen der Kiefergelenke, sowie der Kaumuskulatur beitragen. Nacken, Rücken- und Kopfschmerzen sind mögliche Folgen.
Die Zahnlücke wirkt sich also ähnlich einer Kettenreaktion auf den kompletten Kieferapparat aus und kann dort für teils irreversible Schäden verantwortlich sein.
Die Verformungen und Verschiebungen, die behandelbar sind werden dann viele langwierige, schmerzhafte und teure Behandlungen mit sich ziehen, auf die Sie mit dem Einsatz einer Zahnkrone oder einer Zahnbrücke verzichten können.
Welche Punkte sind bei der Herstellung von Zahnkrone und Zahnbrücke in Österreich besonders zu beachten?
Zahnfarbe
Damit Sie mit Ihrer Zahnkrone oder Zahnbrücke den gewünschten Effekt haben, dass sie sich nicht von Ihrem übrigen Zähnen unterscheidet ist es wichtig, den Farbton Ihrer Zähne exakt zu treffen.
Voraussetzung dafür ist eine lückenlose und hochprofessionelle Zusammenarbeit zwischen Zahnarzt und Zahntechniker notwendig. Nur so kann garantiert werden, dass Ihre Zahnkrone beispielsweise ohne auffällige Unterschiede in Ihr Zahnbild einfließt. Dank der modernen Zahntechnik ist es quasi immer möglich, die Zahnkrone oder die Zahnbrücke nicht bloß zahnähnlich sondern zahngleich zu fertigen.
So haben Sie weder bei der Ästhetik noch bei dem Gebrauch Ihrer Zähne Einschränkungen zu erwarten. Der fehlende oder zu restaurierende Zahn wird mit Genauigkeit im Nanometerbereich als Zahnbrücke oder Zahnkrone nachgebildet.
Kronenform und Kronenrand
Entscheidend bei der Form ist ähnlich wie auch bei der Farbe Ihrer Zahnkrone das Zusammenspiel zwischen Zahnarzt und Zahntechniker — so kann eine identische Kopie Ihres Zahngewährleistet werden, damit Sie keinerlei Einschränkungen im täglichen Gebrauch erfahren.
Eine weitere wichtige Frage bei der Herstellung einer passgenauen VKM–Zahnkrone ist, ob sich der Patient für einen reinen Goldrand oder einen Goldkeramikrand entscheiden möchte.
Um die höchste Haltbarkeit erreichen zu können, empfehlen wir einen Minigoldrand.
Die Zementierung der Zahnkrone
Ihre VMK–Zahnkrone wird mit Zinkphosphatzement eingesetzt. Dieses Material ist bereits seit mehreren Jahrzehnten der beste Zement, da er die Bakterien am Ort seines Einsatzes, sprich, an Ihrer Zahnkrone, aktiv und effektiv abtötet.
Als Bestandteil seiner Zusammensetzung befindet sich das Desinfektionsmittel Zink in der Mixtur. Zusätzlich dazu baut der Zement rund um die Zahnkrone ein basisches Milieu auf, in dem Bakterien nicht überleben können. Wenn der Minigoldrand präzise verarbeitet wird, dann lässt er zwischen Zahn und Zahnkrone keinen Spalt mehr übrig.












