

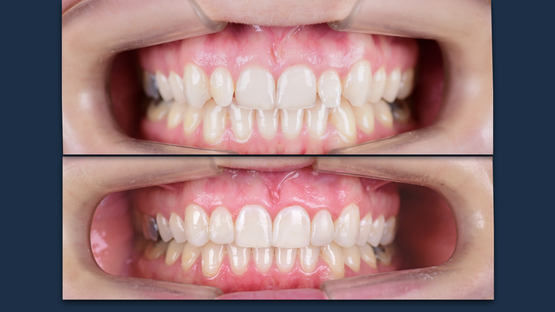
Ästhetische Frontzahnfüllungen
Ästhetische Frontzahnfüllungen sind zahnärztliche Behandlungen, die darauf abzielen, Defekte oder Unregelmäßigkeiten an den Frontzähnen zu korrigieren, während gleichzeitig ein natürlicher und ästhetischer Look erhalten bleibt. Hier sind einige wichtige Informationen dazu:
Arten von ästhetischen Frontzahnfüllungen:
Komposite Füllungen, Kunststofffülungen (zahnfarbene Füllungen):
Diese Füllungen bestehen aus einem zahnfarbenem Kunststoffmaterial (Komposit). Sie werden direkt auf den Zahn aufgetragen und können geformt und poliert werden, um eine natürliche Ästhetik zu erreichen.
Porzellanverblendungen (Veneers – Lumineers) oder Kronen:
Bei umfangreichen Schäden oder zur Verbesserung der Ästhetik können Porzellanverblendungen oder Kronen verwendet werden. Diese werden individuell angefertigt und über den gesamten Zahn platziert.

Anwendungen von ästhetischen Frontzähnefüllungen:
Kariesbehandlung:
Ästhetische Füllungen können Karies an den Frontzähnen behandeln und dabei die natürliche Zahnfarbe imitieren.
Zahnfehlstellungen ausgleichen:
Bei leichten Zahnfehlstellungen oder Lücken können Füllungen verwendet werden, um eine verbesserte Form und Ästhetik zu erreichen.
Schöneres Erscheinungsbild:
Ästhetische Frontzahnfüllungen können dazu beitragen, das Erscheinungsbild von Zähnen zu verbessern, die durch Abnutzungen, Verfärbungen oder kleine Risse beeinträchtigt sind.
- Natürliche Ästhetik: Die Materialien und Techniken ermöglichen eine ästhetische Integration mit den benachbarten Zähnen.
- Minimalinvasiv: Bei Kompositfüllungen ist oft nur wenig Zahnsubstanzentfernung erforderlich.
- Schnelle Ergebnisse: Viele ästhetische Frontzahnfüllungen können in einer Sitzung durchgeführt werden.
Nachsorge:
Regelmäßige Zahnarztbesuche sind wichtig, um die Haltbarkeit der Füllungen zu gewährleisten.
Eine gute Mundhygiene, einschließlich regelmäßigem Zähneputzen und Zahnseide, ist entscheidend.
Vor der Entscheidung für ästhetische Frontzahnfüllungen ist es ratsam, sich von Dr. Al Samarrae zahnmedizinisch beraten zu lassen, um Ihre individuellen Bedürfnisse und beste Behandlungen für Ihr Lächeln in Einklang zu bringen.
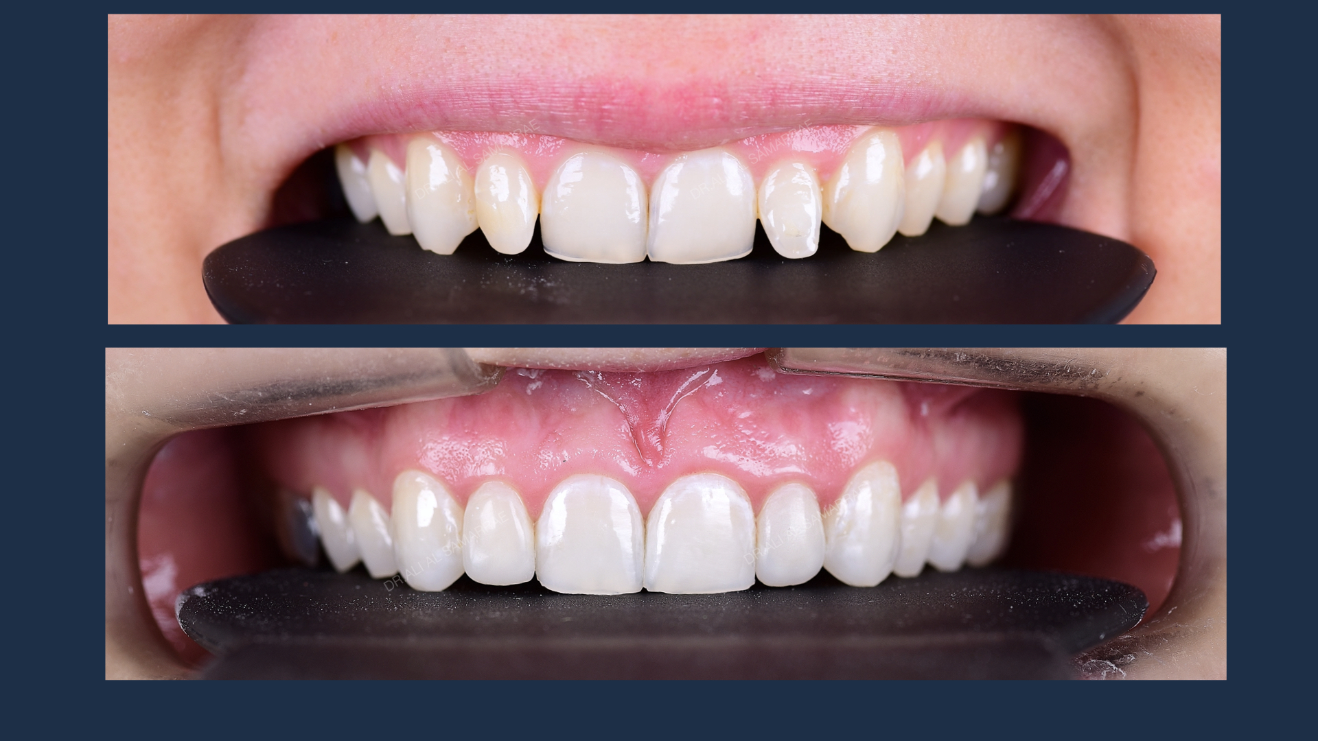
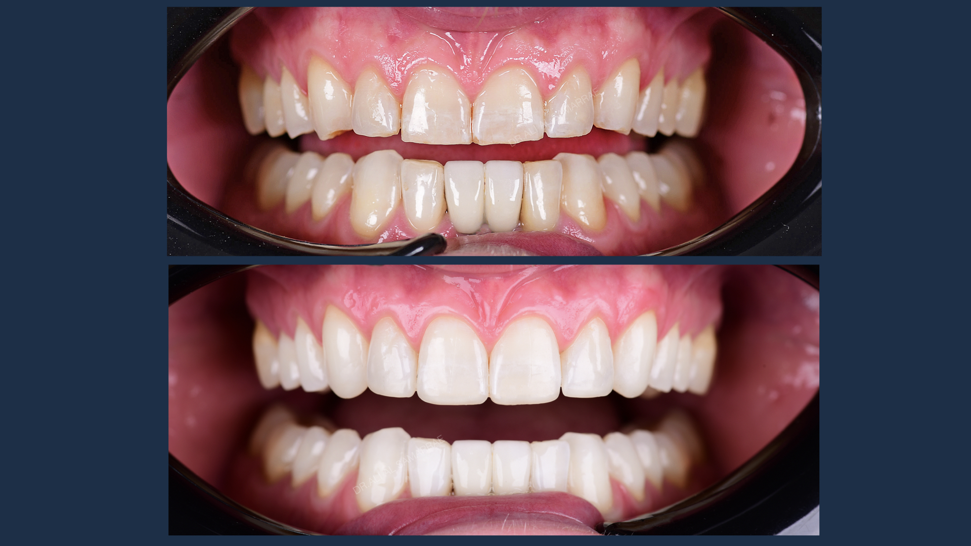
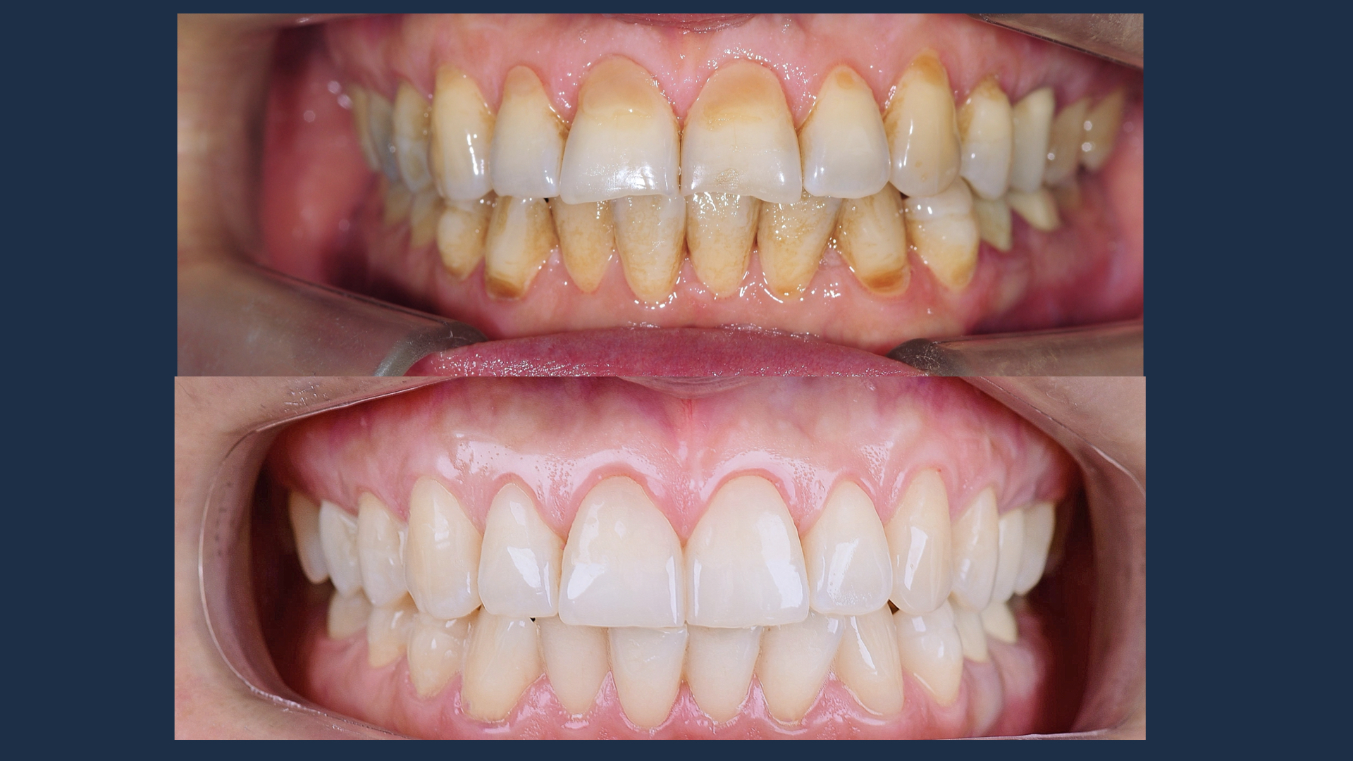
Kompositveneers
Die direkten Kompositveneers sind ästhetische Zahnbehandlungen, bei denen Dr. Al Samarrae (Ihr Ästhetikzahnarzt in Wien) direkt auf den Zähnen mit einem speziellem zahnfarbenen Kompositmaterial arbeitet, um die Form, Farbe und Textur zu verbessern. Hier sind einige wichtige Informationen zu direkten
1. Anwendung:
Direkte Kompositveneers werden direkt auf die Zahnoberfläche aufgetragen und modelliert, um die gewünschte Form und Ästhetik zu erreichen.
2. Vorteile:
Schneller Prozess: Im Vergleich zu indirekten Veneers, die im Labor hergestellt und dann angebracht werden, erfolgt die Anwendung von direkten Kompositveneers in einer einzigen Sitzung.
Minimale Zahnpräparation: Im Allgemeinen erfordern direkte Veneers weniger bis gar keine Zahnsubstanzentfernung.
Kosteneffizient: Direkte Kompositveneers sind oft kostengünstiger als indirekte Veneers.
Keine Provisorische Veneers erforderlich.
3. Verfahren:
Entfernungen von eventuell vorhandenen alten Füllungen oder defektem bzw. kariösem Zahnmaterial.
Der Zahn wird leicht angeraut und ein Haftmittel wird aufgetragen, um eine bessere Haftung des Komposits zu gewährleisten.
Das zahnfarbene Kompositmaterial wird schichtweise auf den Zahn aufgetragen und geformt, um die gewünschte Form und Textur zu erreichen.
Das Komposit wird ausgehärtet und poliert, um ein natürliches Aussehen zu erzielen.
4. Indikationen:
Direkte Kompositveneers eignen sich besonders gut für die Korrektur kleinerer kosmetischer Probleme wie leichte Zahnfehlstellungen, Verfärbungen (wurzelbehandelte Zähne), abgebrochene Ecken oder minimale Lücken.
5. Pflege:
Die Pflege von direkten Kompositveneers erfordert gute Mundhygiene, regelmäßiges Zähneputzen und Zahnseide, um ihre Haltbarkeit zu gewährleisten.
Die Reparatur von Kompositveneers ist möglich, abhängig von der Art des Schadens.
Hier sind einige Faktoren und Möglichkeiten zur Reparatur von Kompositveneers:
- Kleine Risse oder Abplatzungen: Bei kleinen Schäden, wie bei kleinen Rissen oder Abplatzungen, kann Dr. Al Samarrae oft eine Reparatur vornehmen, indem er zusätzliches Kompositmaterial hinzufügt und es entsprechend formt.
- Glätten und Polieren: Falls das Veneer leicht abgenutzt oder rau geworden ist, können wir es möglicherweise glätten und polieren, um das ursprüngliche Aussehen wiederherzustellen.
Austausch des Veneers
Bei größeren Schäden oder wenn das Veneer nicht mehr repariert werden kann, ist möglicherweise ein Austausch erforderlich. Indem Fall müssen wir ein neues Veneer anfertigen und anbringen.
Beratung mit Dr. Al Samarrae
– Ihr Ästhetikzahnarzt in Wien
Vor der Entscheidung für direkte Kompositveneers ist eine zahnmedizinische Beratung mit ihm erforderlich. Er kann Ihre spezielle Situation beurteilen, die Behandlungsoptionen besprechen und sicherstellen, dass die Veneers Ihre ästhetischen Ziele erfüllen und auch eine Indikation gegeben ist
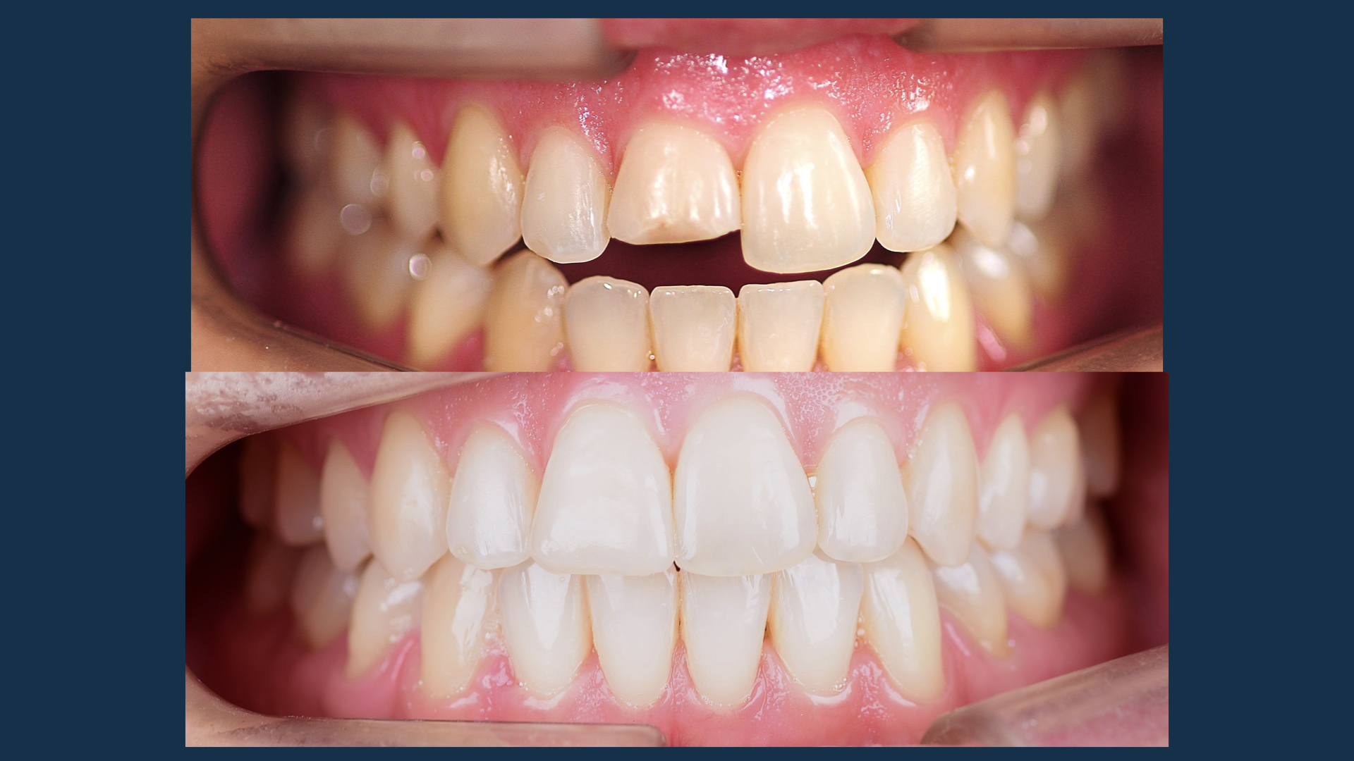
Lücken zwischen den Vorderzähnen (Diastema)
Lücken zwischen den Vorderzähnen, auch als Diastema bekannt, können aus verschiedenen Gründen auftreten. Hier sind einige Informationen dazu:

Ursachen für Lücken zwischen den Vorderzähnen: Genetik:
Manche Menschen haben aufgrund ihrer genetischen Veranlagung natürliche Lücken zwischen den Zähnen.
Zahngröße und Kieferentwicklung: Eine Diskrepanz zwischen der Zahngröße und der Kiefergröße kann zu Lücken führen.
- Gewohnheiten im Kindesalter: Daumenlutschen oder der Gebrauch von Schnullern können die Entwicklung des Gebisses beeinflussen.
- Parodontale Erkrankungen: Zahnfleischerkrankungen können zu Zahnverlust führen und Lücken verursachen.
- Fehlende Zähne: Der Verlust eines Zahns kann zu Verschiebungen der verbleibenden Zähne und Lücken führen..
Optionen zur Behandlung von Lücken zwischen den Vorderzähnen:
- Kompositüllungen (Bonding): Mit diesem Verfahren kann Zahnmaterial auf die Zähne aufgetragen und geformt werden, um die Lücken zu schließen.
- Kieferorthopädische Behandlungen, Zahnspangen (Brackets): Traditionelle Zahnspangen oder unsichtbare Aligner können verwendet werden, um die Zähne zu verschieben und somit die Lücken zu schließen.
- Veneers oder Kronen: Veneers oder Kronen können verwendet werden, um das Erscheinungsbild der Zähne zu verbessern und gleichzeitig Lücken zu schließen.
- Zahnimplantate oder Brücken: Bei fehlenden Zähnen können Zahnimplantate oder Brücken verwendet werden, um die Lücken zu schließen.
Wenn die Lücken zwischen den Vorderzähnen für Sie störend sind, vereinbaren Sie einen Beratungstermin mit Dr. Al Samarrae (Ihr Ästhetikzahnarzt in Wien). Bei diesem Termin werden die Ursachen der Lückenbildung bestimmt, sowie optimalste Behandlungsmethoden und der Behandlungsplan mit Ihnen besprochen.
Die Wahl der geeigneten Methode hängt von der individuellen Situation und den ästhetischen Zielen ab.
Gerne informieren wir Sie über
genaue Kosten und Preise. Bitte setzen Sie sich
mit meiner Ordination in Verbindung.













