

Zahnregulierung - Invisalign
Wie funktioniert die Invisalign-Behandlung?
Ihre Invisalign® Clear Aligner (Zahnschienen) werden für Sie maßgeschneidert. Die Aligner sind praktisch unsichtbar und passen sich eng an Ihre Zähne an. Jeder Aligner verschiebt Ihre Zähne leicht, bewegt sie horizontal und vertikal und dreht sie bei Bedarf sogar. Ihre InvisalignAligner sind so konstruiert, dass sie zur richtigen Zeit die richtige Kraft am richtigen Ort einsetzen. Sie haben die Möglichkeit, mit Invisalign Kosten einzusparen, Ihren Zähnen zu einem neuen Erscheinungsbild zu verhelfen und eine dauerhafte Veränderung ohne weitere Eingriffe zu erzielen. Wenn Sie zum nächsten Invisalign Aligner-Satz wechseln (in der Regel jede Woche), bewegen sich Ihre Zähne nach einem von Ihrem Arzt erstellten individuellen Behandlungsplan allmählich in Position.
Nur Invisalign Clear Aligner bestehen aus proprietärem, mehrschichtigem SmartTrack®-Material, um Ihre Zähne sanft in Position zu bringen. Dieses Material kann so verwendet werden, dass die Ergebnisse planbar sind und bleiben.
Behandlungsprozess mit Invisalign
Ihre erste Invisalign Beratung
Die Entscheidung für eine Invisalign-Behandlung ist eine wichtige zahnmedizinische und finanzielle Entscheidung. Daher ist es wichtig, dass Sie den richtigen Arzt für Sie finden. Vielleicht möchten Sie sich mit weiteren erfahrenen Invisalign-Ärzten treffen, um denjenigen zu finden, mit dem Sie sich am wohlsten fühlen: Bei Ihrem ersten Gespräch bespricht Ihr Arzt Ihre Bedürfnisse und beurteilt, ob die Invisalign-Behandlung für Sie geeignet ist. Da die Entscheidung zu einer Behandlung mit Invisalign ein großer Schritt in jeder Hinsicht ist, lassen Sie sich die Zeit bei der Entscheidung, die Sie brauchen. Wichtig ist, dass Sie Ihrem Arzt und der Expertise vertrauen. So garantieren Sie die besten Ergebnisse bei Ihrer Invisalign Behandlung.
Ihr individueller Behandlungsplan mit Ihrer Zahnschiene
Ihr Arzt wird einen Scanner wie das iTero® Digital Scannersystem verwenden, um schnelle, präzise 3D-Digitalbilder Ihrer Zähne zu erstellen (einige Ärzte nehmen Abdrücke der Zahnreihen auf), damit bereits vorab das genaue Aussehen Ihrer Zahnschiene von Invisalign digital betrachtet werden kann. Dann wird Ihr Arzt einen genauen Behandlungsplan ausarbeiten, einschließlich der genauen Bewegungen Ihrer Zähne und der Dauer Ihrer Behandlung mit der Zahnschiene. Sie werden sehen, wie sich Ihre Zähne in die geplante Richtung bewegen und eine Vorschau Ihres neuen Lächelns.
Ihre Invisalign Wien Clear Aligner
Ihre maßgeschneiderten Aligner werden aus unserem proprietären SmartTrack®-Material hergestellt mit dem es möglich ist, das Zusammenspiel Ihrer Zähne und Ihrer Zahnschiene sicher zu planen. Die Veränderungen werden einfach ersichtlich und messbar. Die InvisalignZahnschiene ist praktisch unsichtbar, sodass die meisten Leute nicht einmal bemerken, dass Sie sie tragen, während Sie Ihre Zähne glätten. Tragen Sie Ihre Invisalign Clear Aligner 20 bis 22 Stunden pro Tag für beste Ergebnisse. Nehmen Sie zum Essen eine Bürste und Zahnseide mit. So begleitet Sie Ihre Zahnschiene von Invisalign täglich, ohne dabei für große Umstände zu sorgen. Die Pflege ist einfach und kann bei Bedarf jederzeit mit Ihrem Zahnarzt besprochen werden
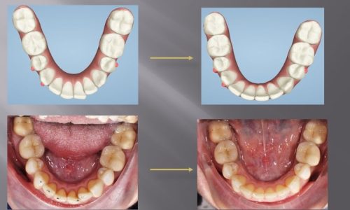
Ihr Fortschritt mit der Invisalign-Behandlung
Wenn Sie jeden Satz Aligner zur Zahnregulierung tragen, verschieben sich Ihre Zähne sanft und allmählich. Ihr Arzt kann Ihnen empfehlen, jede Woche eine neue Zahnschiene zu tragen und alle sechs Wochen einen Check-up zu planen, damit die bisherige Zahnregulierung deutlicher sichtbar wird. Auf diesem Weg werden Etappen abgesteckt, um das Ergebnis Ihrer Invisalign-Behandlung planbar zu halten. Bei jedem Praxistermin können Sie Ihre Fortschritte sehen und sich vorstellen, wie weit Ihr neues Lächeln Sie bringt.
Erhalten Sie Ihr neues Invisalign Lächeln mit einem Retainer
Wenn Ihre Behandlung abgeschlossen ist, fragen Sie Ihren Arzt nach einem Vivera®-Retainer. Diese werden nach dem gleichen Stand der Technik wie Invisalign Clear Aligner hergestellt. Der Retainer ist dazu da, um Ihre Zähne nach der Zahnregulierung in Position zu halten. Da sich jeder Körper verändert und auch der Kiefer dort keine Ausnahme macht, empfehlen wir nach Ihrer Invisalign-Behandlung, das Ergebnis mit einem Retainer zu fixieren, damit Sie spätere Verschiebungen umgehen.

Für genaue Kosten und Preise einer Zahnregulierung mit Invisalign, setzen Sie sich bitte mit meiner Ordination in Verbindung.
Warum eine Invisalign-Behandlung?
Entscheiden Sie sich für ein System, das sich der kontinuierlichen Innovation verpflichtet, mit 20 Jahren klinischer Forschung und mehr als 700 Patienten. Kein anderer Clear Aligner wird durch die Daten und Erfahrungen von 4 Millionen Anwendungsfällen unterstützt. Mit einer Invisalign Zahnregulierung können Sie die gewünschten Ergebnisse vollumfänglich mit Ihrem Zahnarzt gemeinsam planen und Schritt für Schritt umsetzen.
Bis zu 50% kürzere Behandlungszeiten
Mit wöchentlichen Aligner-Änderungen ist es unser Ziel, schnell das gewünschte Ergebnis zu erreichen. Die InvisalignZahnregulierung erlaubt durch ihre genaue Planbarkeit ein besseres Zeitmanagement und damit verbunden eine kürzere Behandlungszeit bis zum gewünschten Ergebnis.
Bewährte Ergebnisse
SmartTrack®-Material und SmartForce®-Funktionen sind klinisch erwiesen und erreichen eine um 75% besser vorhersagbare Zahnbewegung. Die vielen Erfahrungswerte bei der Zahnregulierung und das extrem zuverlässige Material der Invisalign Zahnschiene ermöglichen planbar beste Ergebnisse.
Besserer Sitz, besserer Komfort
Nichts ist unangenehmer als falsch oder unpassend sitzende Zahnschienen. Die aus SmartTrack-Material gefertigten Aligner von Invisalign Wien sind komfortabler, passen sich besser an und lassen sich leichter an- und abnehmen. So sind sie für den Alltag immer ein bequemer und unauffälliger Begleiter.
Wirksam für eine Vielzahl von Fällen
Die proprietären SmartForce-Funktionen und das SmartTrack-Material machen die Invisalign Zahnregulierung auch für komplexe Fälle wirksam. Mit Innovationen wie diesen kann Ihr Arzt Ihre Zähne präziser bewegen. Je feiner die Arbeit abgestimmt werden kann, desto besser ist das Endergebnis. Ihr Zahnarzt berät Sie jeder Zeit gerne zu Fragen rund um die Invisalign Zahnregulierung und, ob sich diese Methode für Ihren speziellen Fall eignet.
Einzigartiges Feature für Jugendliche
Invisalign-Clear-Aligner für Teenager erhalten Indikatoren, die von Blau auf Clear verblassen, um die Verschleißzeit zu bestimmen. Damit können sowohl Sie als auch Ihr Zahnarzt extrem präzise Arbeiten und dauerhafte Ergebnisse auf höchstem Niveau erzielen. Invisalign ermöglicht eine Form der Zahnregulierung, die innovativ, vom Fortschritt begeistert, unauffällig, messbar und planbar ist.





