

Ästhetische Zahnfüllungen und Inlays
Ästhetische Frontzahnfüllungen
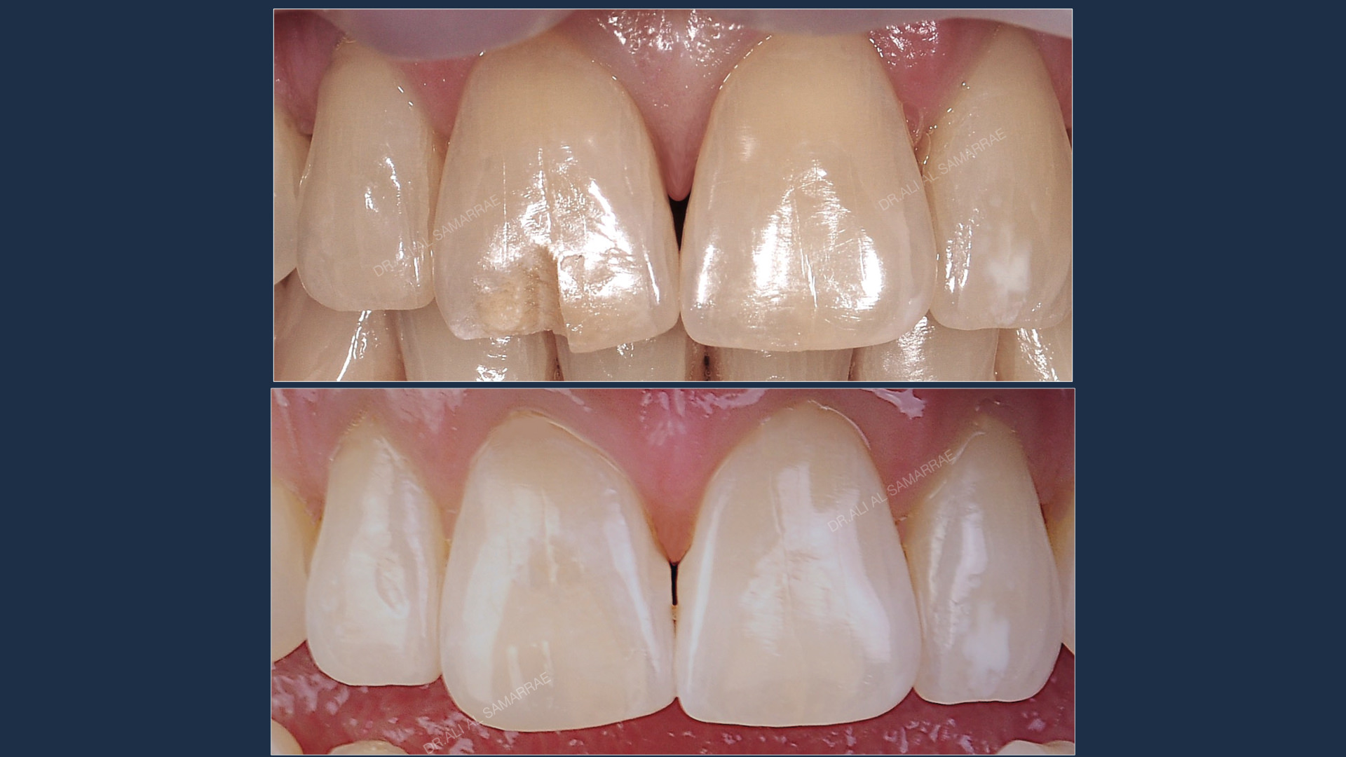
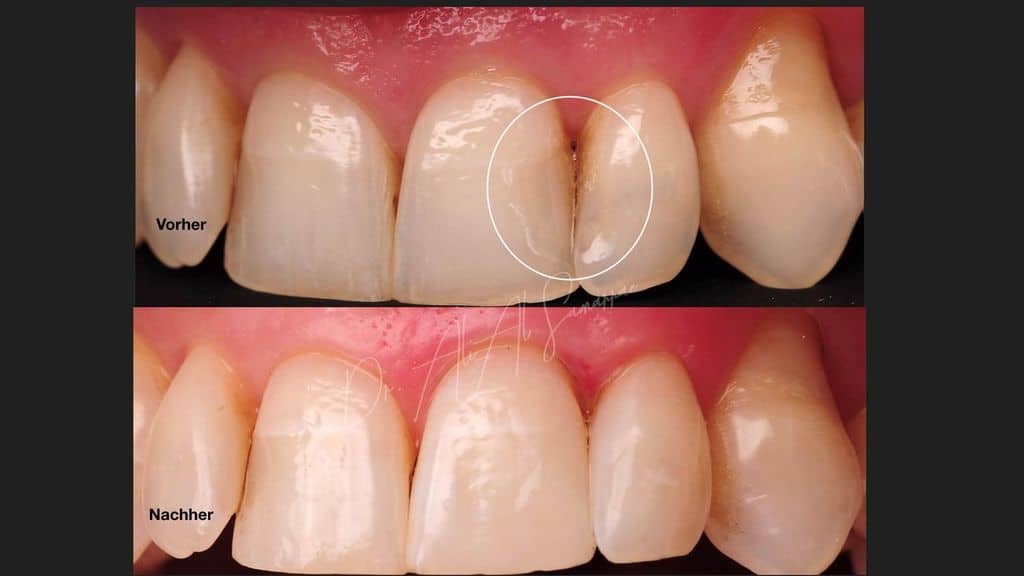
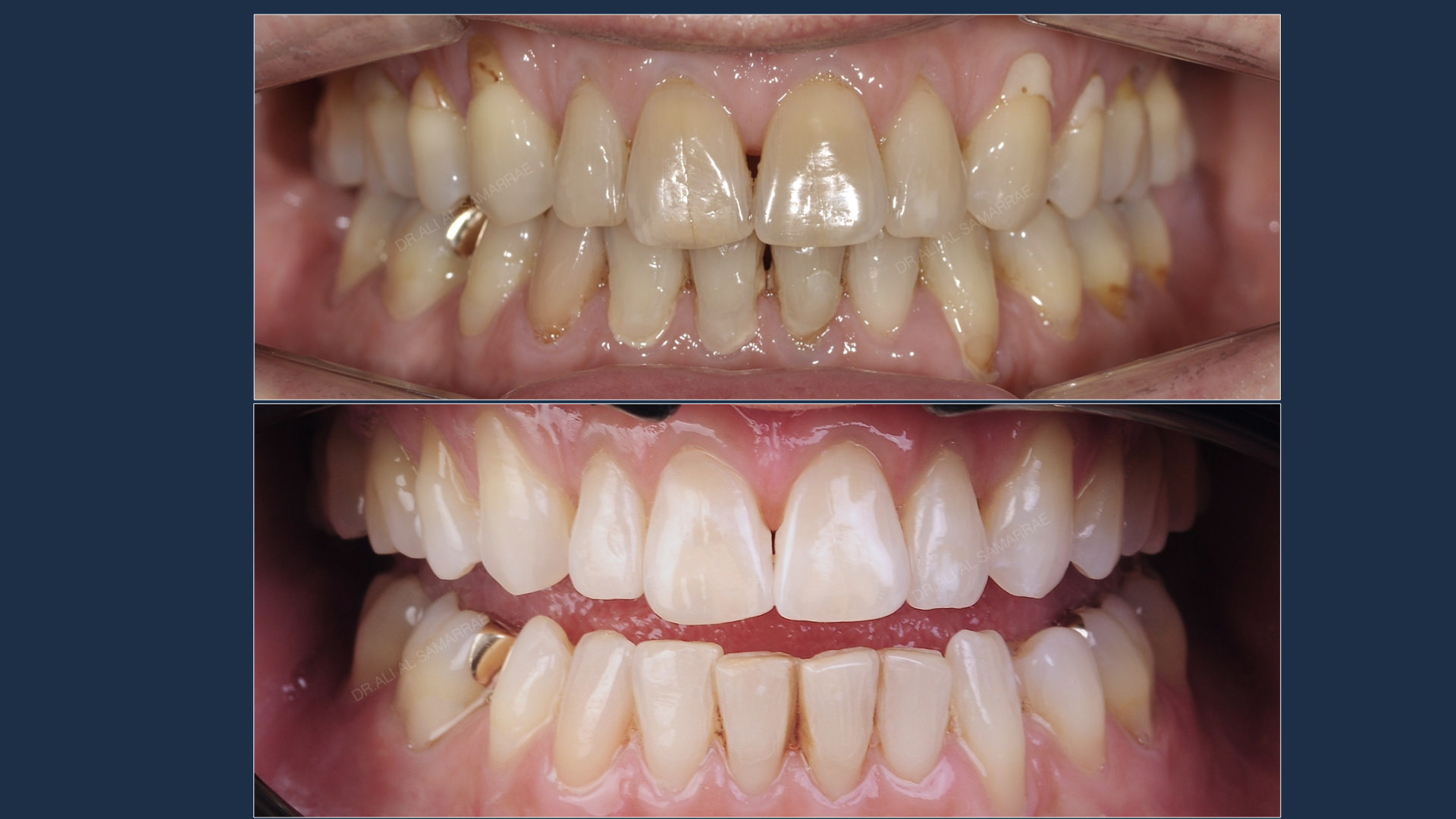
Karies entsteht, wenn Säure auf den Zahn einwirkt. Diese Säure wird von Bakterien bei der Verstoffwechselung von Kohlehydraten gebildet. Wirkt diese Säure lange genug auf die Zahnhartsubstanz ein, wird diese entmineralisiert. In der Folge werden zunächst der Zahnschmelz und anschließend das darunterliegende Dentin angegriffen und ein Loch im Zahn entsteht. In diesem Fall ist eine Zahnfüllung notwendig. Bei der Füllungstherapie wird die kariös erweichte Zahnhartsubstanz, evtl. vorhandene Amalgam- oder sonstige Füllungen, entfernt und durch geeignete Füllungsmaterialien, wie etwa eine Komposit-Zahnfüllung, ersetzt.

Welche Zahnfüllung ist die richtige? Individuelle Patientenplanung
Welches Material für die Zahnfüllung am besten geeignet ist, wird mit jedem Patienten individuell besprochen. Wir verwenden vorzugsweise modernste hochwertige Kunststofffüllungen (Kompositfüllung), die uns in unterschiedlichsten naturidentischen Farbnuancen und Transparenzen zur Verfügung stehen. So können wir, die verschiedenen Schichten des Zahnes, genauer gesagt das Dentin und den Zahnschmelz, so naturgetreu wie möglich wiederherstellen.
Kunststofffüllung oder doch Keramik Inlay?
Bei leichten Zahnfehlstellungen oder Lücken kSowohl Kunststoff als auch Keramik sind Zahnfarben, aber die glasfaserverstärkten Kunststoffe brechen nicht so leicht wie ein Keramik Inlay. Darüber hinaus benötigt Keramik eine Mindestdicke von 1,5 -2mm insgesamt, weshalb oft auf gesunde Zahnsubstanz verzichtet werden muss, damit die Dicke für ein Keramikersatz erreicht werden kann. Bei Kunststoffen ist dies selten notwendig! Heutzutage sind die Kunststoffe auch für den Kaudruck im Seitenzahnbereich geeignet.önnen Füllungen verwendet werden, um eine verbesserte Form und Ästhetik zu erreichen.
Kunststofffüllung–unsere bevorzugte Zahnfüllung
Wie wird eine Kunststofffüllung eingesetzt?
In den meisten Fällen bekommt der betroffene Zahn zuerst eine Art Gummiverband (Kofferdam genannt) zur Abschirmung des zu behandelnden Zahns vom restlichen Mundraum, insbesondere bei einer Wurzelkanalbehandlung, einer Kunststoff
Zahnfüllung, einem Keramik–Inlay oder einer Amalgam-Entfernung. Somit wird der Zufluss von Speichel verhindert. Der Kofferdam besteht meist aus elastischem Kunststoff oder Gummi und wird unterstützt von Kofferdam -Klammern, Kofferdam-Rahmen und Klammerzange. Neben der Abschirmung des Mundraums für die einfachere speichelfreie Behandlung des eröffneten Zahnes wird auch verhindert, dass Fremdkörper verschluckt oder eingeatmet werden können. Diese Trockenlegung ist für die spätere Haftung der Kunststoff Zahnfüllung
notwendig. Eine chemische Aufrauhung und ein Bindemittel (Dentinadhäsiv) verbessern den Halt zwischen Zahn und Kompositfüllung zusätzlich. Nun bringt der Zahnarzt die verformbare Komposit
Zahnfüllung in die Zahnkavität ein und härtet sie durch UV-Licht (mit einem Polymerisationsgerät) aus. Handelt es sich um einen größeren Defekt, wird das Kunststofffüllung in mehreren Teilschichten aufgebaut. Am Schluss entfernt der Zahnarzt den Kofferdam und poliert den Zahn, damit das Kauen, Sprechen und Schlucken einwandfrei funktionieren.
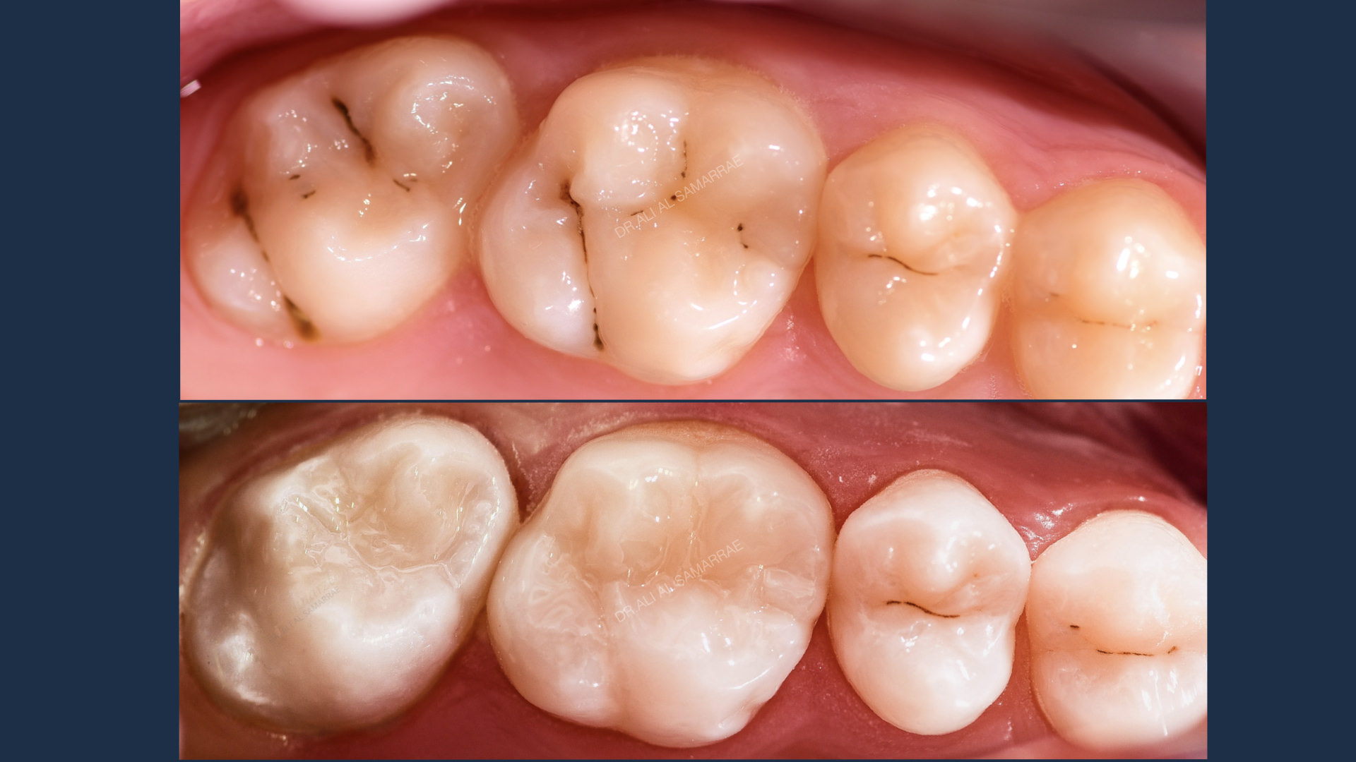
Die geschichtete Kompositfüllung (Multilayertechnik)
Eine mehrschichtige Kompositfüllung benötigt viel mehr Zeit als herkömmliche Kompositrestaurationen. Sie wird zwar auch während eines einzigen Behandlungsbesuchs fertiggestellt, unterscheidet sich aber von der einfachen Kompositfüllung (z.B. für kleine Füllungen, Fissurversieglungen) in einem wichtigen Punkt. Das Kompositmaterial kann beim Aushärten schrumpfen. Dieses Risiko ist bei der Mehrschichttechnik sehr gering oder entfällt, wenn der Zahnarzt ein Mikroskop benutzt und die Kanten des betroffenen Zahnes mit einem Sandstrahler präpariert. Je weniger Material pro Schicht in den Zahn eingebracht und ausgehärtet wird, desto geringer ist die Schrumpfung und desto länger ist die Haltbarkeit der Füllung.
Die Mehrfarbtechnik bei einem Kunststofffüllung
Wir verwenden diese Technik in unserer zahnärztlichen Arbeit zur Behandlung von Front- und Seitenzähnen. Unsere natürlichen Zähne haben unterschiedliche Farben sowie unterschiedliche Schichten. Zu diesem Zweck wird die
Kompositfüllung in einzelnen Schichten und mit unterschiedlichen Farbintensitäten platziert (z.B. gibt es Farben, die zum Zahnbein farblich passen und andere Farben, die zum Zahnschmelz passen). In diesem Fall haben wir die beste Übereinstimmung unserer Füllung mit der natürlichen Zahnfarbe. Die neue Generation von Kompositfüllungen ermöglicht es uns, der natürlichen Zahnsubstanz sehr nahe zu kommen.

Gerne informieren wir Sie über genau Kosten und Preise für Zahnfüllungen.
Bitten setzen Sie sich mit meiner Ordination in Verbindung.
Sonstige Zahnfüllungen
Amalgamfüllung
Eine häufige Anwendung der Amalgame (Amalgam Zahnfüllung) ist die Verwendung als Zahnfüllung, heute ausschließlich in der Form von Silberamalgam. Amalgam ist eine Legierung aus Quecksilber und anderen Metallen (30 % Kupfer, 32 % Zinn und 40 % Silber). Es ist der älteste zahnärztliche Werkstoff. Es ist bekannt, dass das Schwermetall die Nerven angreift und zu Nervosität, Schlafstörungen, Depressionen und anderen Krankheiten führen kann. Bislang konnte jedoch nicht nachgewiesen werden, dass diese Gefahr auch von einer Amalgam Zahnfüllungausgeht. Genauso gibt es bisher keine eindeutigen Hinweise darauf, dass Amalgam das Krebsrisiko erhöhen oder andere gesundheitliche Beschwerden wie Müdigkeit, chronische Kopfschmerzen etc. verursachen kann.
Gerade aus ästhetischen Gründen lehnen viele Patienten die Behandlung mit einem Amalgam ab bzw. möchten noch vorhandene Amalgamfüllungen entfernen und gegen eine bessere Alternative, wie eine Komposit Zahnfüllung aus Kunststoff ersetzen.
Amalgamentfernung
Das Wichtigste bei der Entfernung einer Amalgam Zahnfüllung ist es, einen Kofferdam zu legen. Das Amalgam wird, nach Möglichkeit in großen Stücken, aus dem Zahn gebohrt. Es ist notwendig ein Kofferdam, eine Art Gummibandage zur Abschirmung des zu behandelnden Zahns vom restlichen Mundraum, zu verwenden und ein Sauggerät, dass den Patienten vor dem Einatmen des schädlichen Quecksilbers schützt. Die daraus resultierende Kavität erhält dann eine andere Zahnfüllung.
Zahnfüllung aus Gold (Inlay & Onlay)
Gold hat als Inlay viele Vorteile, darunter hohe Festigkeit und Dehnbarkeit, was ideal ist, um den Kaukraft der Zähne standzuhalten. Diese Eigenschaft ermöglicht es, Gold in dünneren Querschnitten zu verwenden, was bedeutet, dass bei der Zahnpräparation weniger Zahngewebe entfernt werden muss als bei anderen Restaurationsmaterialien, um die gleiche Festigkeit zu erreichen. Wenn es dem Patienten nicht um Ästhetik geht, wie z.B. bei Seitenzähnen, kann Gold die notwendigen Eigenschaften bieten.
Keramikfüllungen (Inlay & Onlay)
Keramik bietet eine ästhetisch ansprechendere Restaurationsfarbe als das bisherige Gold- und Amalgam. Keramik, die als Restaurationsmaterial ohne Metallverstärkung verwendet wird, hat jedoch an Festigkeit verloren und ist anfälliger für Ausfälle. Um dies auszugleichen, wird Keramik in einem dickeren Querschnitt von mindestens 2 mm für spannungsführende Bereiche eingesetzt, um Rissbildung zu vermeiden. Keramik kann beim Kauen auch an gegenüberliegenden Zahnoberflächen abrasiv sein.
Vor- und Nachteile von einem Keramik-Inlay:
Vorteile:
- gute Langzeithaltbarkeit
- Stabilisierung von geschwächten Zahn
- optimale Bioverträglichkeit
Nachteile:
- Sehr hart, belastet die Zähne und Kiefergelenk daher mehr
- Braucht mehr Platz
- Reparatur schwierig
- Teurer als Kunststofffüllung
- Problematisch bei Defekten, die unter das Zahnfleisch reichen
- Gegenüberliegende natürliche Zähne können aufgrund der Härte des Materials geschädigt werden
- Keramikbruch möglich
Inlay & Onlay:
Die Unterschiede
Inlays und Onlays sind eine Form der indirekten Restauration. Das heißt, sie werden außerhalb des Mundes als ein einziges, massives Stück hergestellt, das der spezifischen Größe und Form der Kavität entspricht. Ein Inlay kann bei kleinen Zahndefekten verwendet werden, wenn genügend Zahnsubstanz vorhanden ist. Wenn mehr Zahnsubstanz gebrochen ist, wie z.B. bei einer Höckerfraktur, dann ist ein Onlay die richtige Form um die Höckerdeckung durchzuführen.















