

Veneers und Lumineers
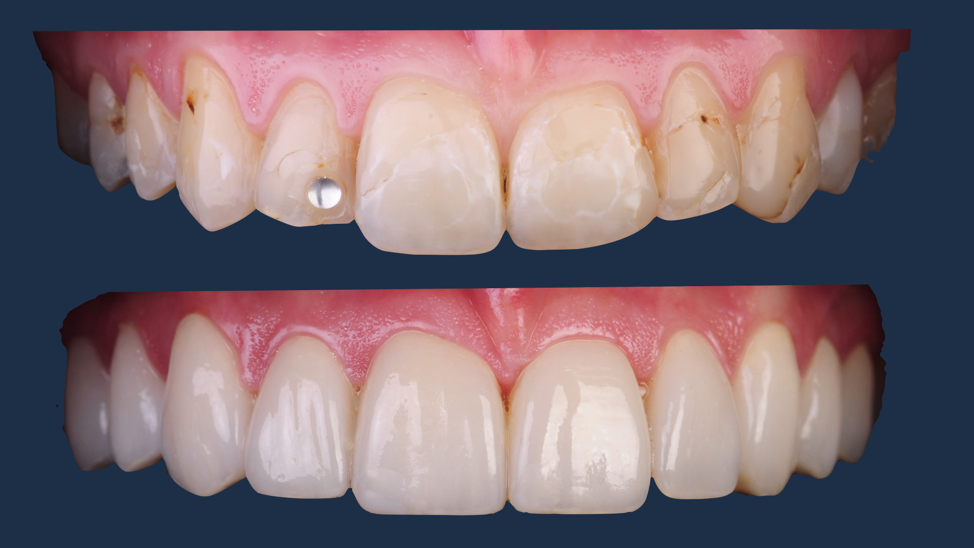
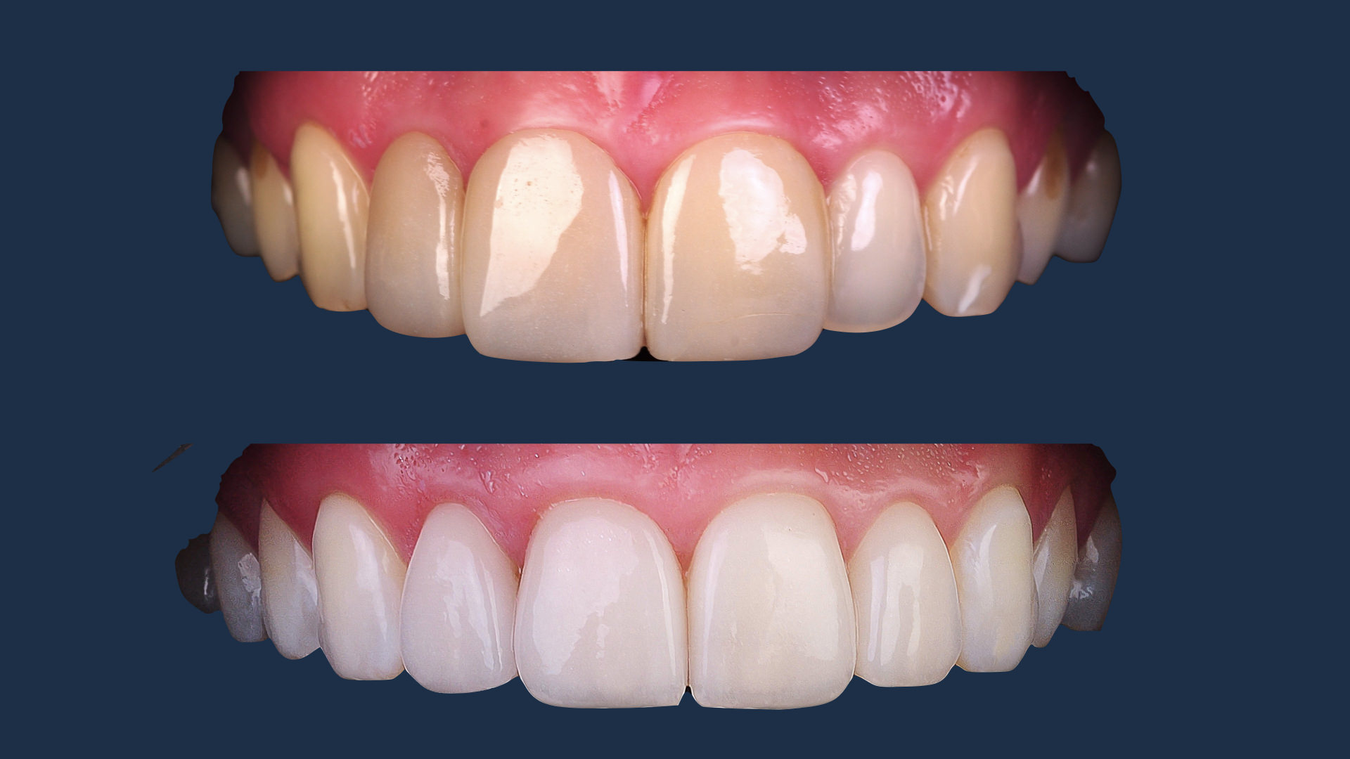
Veneers sind extrem dünne und maßangefertigte Verblendungen für die Zähne, die aus Porzellan gefertigt werden. Diese Verblendschalen werden direkt mit dem Zahn verbunden.
Sie sind eine Möglichkeit, um Lücken zwischen den Zähnen zu verschließen, die Form zu verbessern oder die Farbe der Zähne zu verändern. Man greift in manchen Fällen auf Veneers bei der Aufhellung der Zähne zurück, da nicht jeder Zahn gleich gut auf Aufhellungen reagiert.
In vielen Fällen ist ein gewisses Maß an Zahnreduktion erforderlich, damit das gewünschte Ergebnis erzielt werden kann.
Damit ein schönes Lächeln erzielt werden kann, werden diagnostische Mock-Ups angefertigt, die als Leitfaden für die Präparation der Zähne vor der Herstellung von Veneers dienen sollen.
Sie ermöglichen es dem Zahnarzt, die notwendigen Veränderungen an den Zähnen des Patienten in Bezug auf Größe, Form und Proportion sowie ihre Beziehung zur Zahnfleischkontur, Lippenkontur und Smile Line zu visualisieren.
Mock-Ups können eine große Hilfe bei der Herstellung von Provisorien sein, die eine vorläufige Bewertung der Ästhetik, Phonetik und des Zahnverhaltens ermöglichen. Gleichzeitig geben sie den Ärzten die Möglichkeit zu überprüfen, ob Zahnkorrekturen notwendig sind.
Um Ihnen einen besseren Einblick zu verschaffen, welche Möglichkeiten es bei Veneers gibt und worauf man achten sollte, haben wir im Folgenden die meist gestellten Fragen für Sie erörtert.
In welche Arten werden Veneers unterschieden?
Konventionelle Veneers
Konventionelle Veneers sind Verblendschalen aus speziellem Keramikmaterial, die verwendet werden:
wenn das Endvolumen der Zähne kleiner oder ähnlich dem ursprünglichen Zustand ist
wenn die Zähne ihre Position auf der Lippe beibehalten oder leicht nach innen bewegt werden sollen
Diese Art von Veneers ist die häufigste und am weitesten verbreitete Variante.
Non-Prep Veneers bzw. Lumineers
Non-Prep Veneers bzw. Lumineers werden verwendet:
- wenn das Endvolumen der Zähne größer ist als das der ursprünglichen Zähne
- wenn das Volumen hinzugefügt wird, um die Zähne nach vorne zu bewegen
In diesem Fall muss der Zahn nicht präpariert werden, sondern es wird lediglich Material hinzugefügt. Non-Prep-Veneers sind eine spezielle Art von Veneers, bei denen das Keramikmaterial sehr dünn ist (zwischen 0,3 – 0,5 mm). Dabei wird nur minimal Zahnsubstanz entfernt. Das Prinzip besteht darin, das gesunde Zahngewebe zu schonen und lediglich auf der Zahnoberfläche zu haften. Das Ergebnis ist eine „nicht-invasive Technik“, die dem natürlichen Zahn nur etwas Material hinzufügt
Eingeschränkte Indikation für Non-Prep Veneers
Diese Art von Veneers eignet sich nur unter bestimmten Voraussetzungen:
- Die Zahnfarbe sollte bereits passend sein, da das Material der Lumineers nicht farblich verändert werden kann.
- Sie dienen hauptsächlich dazu, Zahnzwischenräume zu schließen.
- Sie sind eine Option für kleinere Zähne, denen mehr Volumen gegeben werden soll.
Keramische Teil-Veneers (Feldspathic Veneers)
Keramische Teil-Veneers werden verwendet, wenn nur ein Stück des Zahnes hinzugefügt werden soll. Dabei ist kein Schleifen erforderlich.
Kunststoff-Veneers / Komposit-Veneers (Direktes Verblenden)
Kompositverblendungen bestehen aus Kunststoff (Komposit) und werden innerhalb einer einzigen Sitzung auf die Vorderseite der Zähne aufgetragen.
Vorteile dieser Methode:
-
- Kein Abschleifen der Zahnsubstanz notwendig
- Besonders geeignet für kleine Schönheitsfehler an gesunden Zähnen
- Kostengünstige Alternative zu keramischen Veneers
Wie funktioniert das Verfahren?
- Das Kompositmaterial wird schichtweise aufgetragen, um die natürliche Farbe und Form des Zahns perfekt zu imitieren.
- Jede Schicht muss einzeln aushärten, bevor die nächste aufgetragen wird.
- Zum Abschluss wird das Veneer poliert für ein ästhetisches Ergebnis.
Langlebigkeit & Pflege
- Kunststoff-Veneers können mit der Zeit Abnutzungserscheinungen zeigen oder matter werden.
- Sie lassen sich jedoch durch professionelle Zahnreinigung oder Nachpolieren wieder optimal aufhellen.

Für weitere Informationen, setzen Sie sich bitte mit meiner Ordination in Verbindung.
Wie verläuft eine Behandlung mit Veneers?
Bevor die Veneers angefertigt und eingeklebt werden können, bedarf es einiger Vorbereitungen.
Zuerst wird ausgemessen, wie die Gleitbewegungen des Kiefers aussehen und an welchen Stellen des Kiefers welche Krafteinwirkungenvorhanden sind. Die Beißkraft des Menschen ist nicht zu unterschätzen – selbst Materialien wie Keramik können durch falsche Anordnung beschädigt werden. Aus diesem Grund muss vorher genau gemessen werden, wie sich die Beißkräfte verteilen.
Anschließend wird für einen detaillierten Eindruck des Kiefers und der Zahnstellung ein Abdruck angefertigt. Mithilfe dieses Abdrucks wird ein exaktes Gipsmodell gegossen, das dann wiederum vom zahntechnischen Labor dafür verwendet wird, um die einzelnen Veneers in Handarbeitexakt anzufertigen.
Ein spezialer Zement wird auf das Veneer aufgetragen, bevor es auf den Zahn gesetzt wird. Sobald die Verblendschale korrekt positioniert ist, wird ein spezieller Lichtstrahl darauf gerichtet. Dieser aktiviert die Chemikalien im Zement, sodass dieser sehr schnell aushärtet.
Wie lange dauert die Behandlung?
Nach der Fertigstellung des Behandlungsplans (Form, Farbe und Größe der Veneers) sowie dem Fotoshooting sind zwei Termine notwendig, um die Veneers herzustellen und anzubringen.
Erster Termin – Vorbereitung der Zähne
- Falls erforderlich, werden die Zähne beschliffen.
- Die Dauer dieses Termins hängt von der Anzahl der Veneers ab.
- Anschließend wird ein Abdruck genommen, um die Veneers passgenau anzufertigen.
Zweiter Termin – Anbringen der Veneers
- Nach etwa zwei Wochen sind die individuellen Veneers fertiggestellt.
- Sie werden präzise an den Zähnen befestigt, um ein perfektes Ergebnis zu erzielen.
Wenn Sie weitere Informationen zur Planung und Behandlung wünschen, lassen Sie sich gerne jederzeit telefonisch oder direkt vor Ort in unserer Praxis beraten.
Wie werden herkömmliche Keramikveneers angebracht?
Bei herkömmlichen Keramikveneers muss der Zahnarzt den zu verblendenden Zahn zuerst präparieren.
- Mit einem speziellen Schleifkörper wird minimal Zahnmaterial abgetragen.
- Hervorstehende Kanten werden abgerundet, um Verletzungen im Mundraum und Brüche des Keramikmaterials zu vermeiden.
Provisorische Verblendschalen
- Bis zur Fertigstellung der endgültigen Veneers erhalten Sie provisorische Verblendschalen.
- Diese werden vor dem Einsetzen der endgültigen Veneers wieder entfernt.
Einsetzen der Veneers
- Vor dem Aufkleben wird der Zahn sorgfältig getrocknet und gereinigt.
- Anschließend wird das endgültige Veneer mit einem Spezialkleber befestigt.
Wie lange halten Veneers?
Dank moderner Keramiken und hochwertiger Klebeverbindungen sind Veneers sehr langlebig.
- Traditionelle Porzellan-Veneers halten in der Regel 10 bis 15 Jahre.
- Non-Prep-Veneers haben eine Haltbarkeit von etwa 5 bis 7 Jahren.
Pflegehinweise für Veneers
Damit Ihre Veneers lange schön und intakt bleiben, sollten Sie einige Pflegehinweise beachten:
- Verwenden Sie eine Zahnbürste mit weichen Borsten, um die Veneers schonend zu reinigen.
- Bei der Wahl der richtigen Zahnpasta beraten wir Sie gerne.
- Nutzen Sie regelmäßig Zahnseide, um die Zwischenräume der Veneers sauber zu halten.
- Lassen Sie Ihre Zähne regelmäßig zahnärztlich untersuchen, um Zahnfleischerkrankungen vorzubeugen.
- Vermeiden Sie Zähneknirschen und das Kauen auf harten Gegenständen, da dies die Veneers beschädigen kann.
Vorteile von Veneers
Einer der Vorteile von Veneers ist, dass sie dazu beitragen, das Selbstvertrauen zu stärken, das sich aus dem perfekten Lächeln auf Ihrem Gesicht ergibt.
Veneers werden für Ihre Zähne so geformt, dass es fast unmöglich ist, zwischen Veneer und Zahn zu unterscheiden.
Der Vorteil von Veneers ist, dass auf jeden Fall weniger als bei Kronen beschliffen werden muss.
Im Fall von Non-Prep Veneers muss der Zahn eventuell gar nicht beschliffen werden.
Sie müssen nur täglich wie Ihre natürlichen Zähne geputzt und mit Zahnseide behandelt werden, und es ist keine besondere Pflege erforderlich.
Sie können Ihnen hellere und weißere Zähne geben, und Sie können jede beliebige Farbe wählen, die Sie wünschen.
Nachteile von Veneers
Veneers sind irreversibel mit dem Zahn verbunden. Sind sie einmal aufgebracht, bleiben sie dauerhaft auf den Zähnen.
Sollten Sie Vorerkrankungen des Zahnfleisches haben oder schwache Zähne, dann ist von Veneers dringend abzuraten. Die Kosten für Veneers übersteigen die einer Composite-Kunststoff-Füllung. Lassen Sie sich diesbezüglich gern von Ihrem Zahnarzt beraten.
Veneers eignen sich nicht für Zähne, die bereits stark gefüllt sind. In solchen Fällen müssen statt dessen Kronen angefertigt werden. Sollten Sie sich für Veneers entscheiden, ist vorsichtiges
Kauen Voraussetzung.
Kann man Äpfel mit Veneers essen?
Zum Schutz Ihrer Veneers gibt es einige Lebensmittel, von denen wir abraten.
Wir empfehlen, die folgenden Lebensmittel und Getränke mit Veneers zu vermeiden:
Vermeiden Sie harte Nahrungsmittel/Snacks:
-
- Brezeln
- Erdnüsse
- Kandierte Äpfel
- Pistazien
- Bonbons
- Hühner-/Rippenknochen
Sollten Sie harte Lebensmittel essen müssen, dann empfehlen wir Ihnen, auf den hinteren Zähnen zu kauen.
Durch die breitere Auflagefläche der Backenzähne kann die Kraft besser verteilt werden und wirkt nicht punktuell, wie es bei den vorderen Zähnen der Fall wäre
Wie viel kostet eine Veneer-Behandlung?
Aufgrund der gesetzlichen Bestimmungen der Österreichischen Zahnärztekammer ist es uns nicht gestattet, Preise online zu nennen. Gerne informieren wir Sie telefonisch oder per E-Mail über die genauen Kosten und Preise für Veneers und Lumineers.


Die Philosophie unserer Zahnarztpraxis:
unterstützende Vorbeugung, frühzeitige Diagnose und minimal invasive Eingriffe. Vereinbaren Sie Ihren kostenfreien ERSTBERATUNGSTERMIN




























