

Zahnfleischentzündung - Parodontitis
Parodontale Behandlung
Parodontitis ist eine schwere Zahnfleischentzündung, die das Weichgewebe schädigt und den Knochen zerstört, der Ihre Zähne stützt. Parodontitis kann dazu führen, dass sich die Zähne lockern und kann zum Zahnverlust führen. Parodontitis ist häufig, aber weitgehend vermeidbar. Dies ist in der Regel das Ergebnis von unzureichender Mundhygiene ohne Zahnzwischenraumbürstchen und Zahnseide. Mindestens zweimal täglich bürsten, täglich Zahnzwischenraumbürstchen und Zahnseide verwenden und regelmäßige zahnärztliche Untersuchungen durchführen, kann Ihre Chancen auf eine erfolgreiche Behandlung von Parodontitis bzw. Zahnfleischentzündung erheblich verbessern und auch die Entstehung von entzündetem Zahnfleisch verringern.
Warum sind tiefe Zahnfleischtaschen so besorgniserregend?
Zahnfleischtaschen sind die ideale Umgebung für das Bakterienwachstum (37 ° C, feucht und anaerob (kein Sauerstoff)). Sie können unmöglich zu Hause gereinigt werden. Je tiefer die Tasche (z.B. 6 mm), desto höher ist die Bakterienbelastung. Mit jeder Mahlzeit, die Sie zu sich nehmen, sammeln sich in diesen Taschen mehr Nahrungsmittel, die die Bakterien zusätzlich ernähren und so das weitere Wachstum unterstützen. Wenn die bakterielle Belastung zunimmt, nimmt der Knochen um Ihre Zähne ab und schließlich lockern sich Ihre Zähne. Unbehandelt ist die Entfernung des Zahnes sicher.
Gerne informieren wir Sie über genau Kosten und Preise für die Behandlung einer Zahnfleischentzündung oder Parodontitis. Bitte setzen Sie sich mit meiner Ordination in Verbindung.

Symptome einer Parodontits bzw. Zahnfleischentzündung
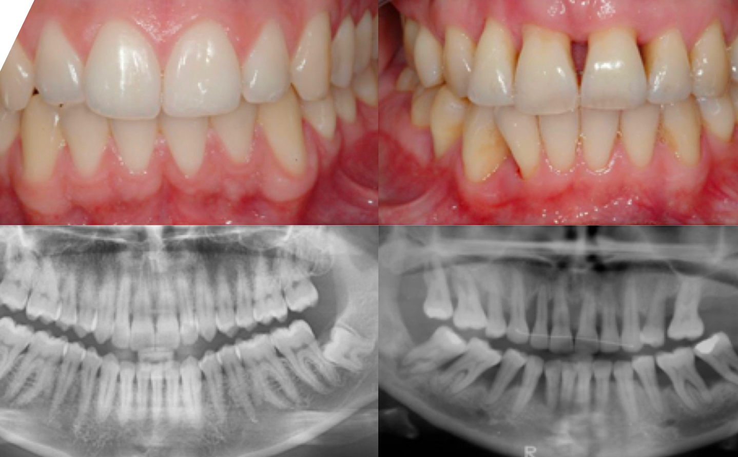
Gesundes Zahnfleisch ist fest und blassrosa und sitzt eng an den Zähnen. Anzeichen und Symptome einer Parodontitis können sein:
- Geschwollenes Zahnfleisch
- Helles rotes, dunkelrotes oder violettes Zahnfleisch
- Zahnfleisch, das sich bei Berührung weich anfühlt
- Zahnfleisch, das leicht blutet
- Zahnfleisch, das sich von den Zähnen wegzieht, wodurch Ihre Zähne länger aussehen als normal
- Neue Räume entstehen zwischen den Zähnen
- Eiter zwischen Zähnen und Zahnfleisch
- Schlechter Atem
- Zahnverlust
- Schmerzhaftes Kauen
- Eine Änderung in der Art und Weise, wie Ihre Zähne beim
- Beißen zusammenpassen

Ursachen der Parodontitis
In den meisten Fällen beginnt die Zahnfleischentzündung mit Plaque – einem klebrigen Film, der hauptsächlich aus Bakterien besteht. Wenn dieser nicht behandelt wird, können Sie feststellen, wie sich Plaque schließlich zu einer Parodontitis entwickeln kann:
- Plaque bildet sich an den Zähnen, wenn Stärke und Zucker in Lebensmitteln mit Bakterien im Mund interagieren. Wenn Sie Ihre Zähne zweimal täglich putzen und einmal täglich Zahnzwischenraumbürstchen und Zahnseide verwenden, wird die Plaque entfernt.
- Plaque kann unter Ihrem Zahnfleisch zu Zahnstein verhärten, wenn es auf den Zähnen bleibt. Zahnstein ist schwieriger zu entfernen und mit Bakterien gefüllt. Je länger Plaque und Zahnstein auf den Zähnen bleiben, desto mehr Schaden können sie anrichten. Sie können Zahnstein nicht durch Zähneputzen und Zahnseide entfernen – Sie benötigen eine professionelle Zahnreinigung, um ihn zu entfernen.
- Plaque kann Gingivitis verursachen, die mildeste Form einer Parodontitis. Gingivitis ist eine Reizung und Entzündung des Zahnfleisches um die Zahnbasis (Gingiva). Gingivitis kann durch professionelle Behandlung und gute Mundpflege behoben werden.
- Eine anhaltende Zahnfleischentzündung kann Knochenentzündung verursachen, wodurch sich Taschen zwischen Ihrem Zahnfleisch und Zähnen bilden können, die sich mit Plaque, Zahnstein und Bakterien füllen. Mit der Zeit werden diese Taschen tiefer und füllen sich mit mehr Bakterien. Wenn Sie nicht behandelt werden, führen diese tiefen Infektionen zu einem Verlust von Gewebe und Knochen, und letztendlich können Sie einen oder mehrere Zähne verlieren. Auch chronische Entzündungen können Ihr Immunsystem belasten.
Behandlung der Zahnfleischentzündung
Die Behandlung kann von einem Parodontologen, einem Mikroskopzahnarzt oder einer Dentalhygienikerin durchgeführt werden. Das Ziel der Parodontitis-Behandlung ist es, die Taschen um die Zähne gründlich zu reinigen und eine Schädigung des umgebenden Knochens zu verhindern. Sie haben die besten Chancen für eine erfolgreiche Behandlung, wenn Sie sich auch täglich einer guten Mundpflege unterziehen und Tabakkonsum beenden.
Nichtchirurgische Behandlungen
Wenn die Parodontitis bzw. Zahnfleischentzündung nicht fortgeschritten ist, kann die Behandlung weniger invasiv sein, einschließlich:
- Scaling: Durch das Scaling werden Zahnstein und Bakterien von Ihren Zahnoberflächen und unter Ihrem Zahnfleisch entfernt. Es kann mit Instrumenten, einem Laser oder einem Ultraschallgerät durchgeführt werden.
- Wurzelglättung: Die Wurzelbehandlung glättet die Wurzeloberflächen, verhindert den weiteren Aufbau von Zahnstein und Bakterien und entfernt bakterielle Nebenprodukte, die zur Entzündung beitragen und die Heilung oder Wiederanlagerung des Zahnfleisches an den Zahnoberflächen verzögern.
- Antibiotika: Topische oder orale Antibiotika können helfen, die bakterielle Infektion unter Kontrolle zu halten. Topische Antibiotika können antibiotische Mundspülungen oder das Einsetzen von Antibiotika enthaltenden Gelen in den Raum zwischen Zähnen und Zahnfleisch oder in die Taschen nach der Tiefenreinigung einschließen. Orale Antibiotika können jedoch erforderlich sein, um infektionsverursachende Bakterien vollständig zu eliminieren.
Chirurgische Behandlungen
Bei fortgeschrittener Parodontitis bzw. Zahnfleischentzündung kann eine chirurgische Behandlung erforderlich sein, z. B.
- Weichteiltransplantate: Wenn Sie Zahnfleisch verlieren, tritt Ihr Zahnfleischsaum zurück. Möglicherweise müssen einige der beschädigten Weichteile verstärkt werden. Dies geschieht in der Regel, indem man eine kleine Menge Gewebe von Ihrem Gaumen oder einer anderen Spenderquelle entnimmt und an der betroffenen Stelle anbringt. Dies kann dazu beitragen, die Rezession des Zahnfleisches zu reduzieren, freiliegende Wurzeln zu bedecken und Ihren Zähnen ein besseres Aussehen zu verleihen.
- Gingivektomie: Dies ist ein zahnärztliches Verfahren, bei dem ein Zahnarzt einen Teil des Zahnfleisches im Mund wegschneidet. Durch das Entfernen der Taschenwand bietet die Gingivektomie Sichtbarkeit und Zugänglichkeit für die vollständige Zahnsteinentfernung, wodurch eine günstige Umgebung für die Zahnfleischheilung geschaffen wird und Wiederherstellung einer physiologischen Zahnfleischkontur.
- Geführte Geweberegeneration: Dies ermöglicht das Nachwachsen von Knochen, der durch Bakterien zerstört wurde. Bei einem Ansatz platziert Ihr Zahnarzt ein spezielles Stück biokompatibles Gewebe zwischen dem vorhandenen Knochen und Ihrem Zahn. Das Material verhindert, dass unerwünschtes Gewebe in den Heilungsbereich eindringt, sodass der Knochen nachwachsen kann.
- Gewebe stimulierende Proteine: Eine andere Technik beinhaltet das Auftragen eines speziellen Gels auf eine erkrankte Zahnwurzel. Dieses Gel enthält die gleichen Proteine wie der Zahnschmelz und stimuliert das Wachstum von gesundem Knochen und Gewebe.





